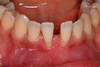
Patiente présentant deux récessions gingivales sur ces incisives inférieures avec une absence de gencive et des tractions muqueuses. Le choix a été fait après discussion avec la patiente d’une greffe gingivale de surface, fin d’intervention et résultat à 1 mois.
119 rue du Palais Gallien
33000
BORDEAUX
| Lundi | 8h30 - 12h30, 14h - 19h |
| Mardi | 8h30 - 12h30, 14h - 19h |
| Mercredi | 8h30 - 12h30, 14h - 19h |
| Jeudi | 8h30 - 12h30, 14h - 19h |
| Vendredi | 8h30 - 12h30, 14h - 19h |
| Samedi | Fermé |
| Dimanche | Fermé |